
【照片】證達教尊
證達教尊(二段金扣聖德)

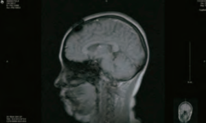
阿旺德吉證達上人:是第三世多杰羌佛的弟子。受第三世多杰羌佛境行灌頂修學“道果深道法”,不到一個時辰開頂,經MRI核磁共振腦斷層掃描檢測,其頭頂泥丸處大開約一英寸寬,有深洞凹陷入腦髓,並見神識氣狀動態。…

中華國際佛教聞修正法會主辦的《南無地藏菩薩聖誕法會》,20日至21日兩天在苗栗縣西湖鄉立體育館舉行地藏菩薩法會,禮請世界佛教總部副主席金釦二段聖德釋證達教尊主法,…

九月六日這一天,是農曆七月十五日的「盂蘭盆節」,又稱為「佛歡喜日」。在佛教的傳承裡,這是一個令眾生得渡,諸佛歡喜的重要節日。為了成就十方信眾的慈孝之心,發揚慎終追遠,孝親報恩的傳統美德,位於拉斯維加斯的慈善寺特別舉辦盂蘭盆節系列法會。…
:AM1300中文廣播電臺-專訪世界佛教總部副主席-、國際佛教僧尼總會名譽主席-證達教尊Youtube縮圖-1024x576.jpg)
證達教尊介紹世界佛教總部是一個什麼樣的組織?您知道佛教跟其他的宗教派別有什麼不同嗎?您知道為什麼說佛教是「諦教」,是「實證聖量教」嗎?您知道佛學、佛法與修行這幾個概念的區別嗎?

全球政商名流等500人齊聚 場面盛大(本報訊)2024年1月18日上午, 位於拉斯維加斯慈善寺舉行盛大的開光法會及剪綵慶典活動,現場嘉賓雲集,內華達州政府、拉斯維加斯市政府各級長官、世界政商名流、當地華社僑領集聚。有來自美國各州、加拿大、中國、泰國、香港、臺灣等不同國家和地區500多人親臨現場恭賀,共同見證這歷史時刻。…

南無第三世多杰羌佛!南無娑婆世界佛教教主釋迦牟尼佛!南無玉花壽之王佛母!南無十方一切諸佛、金剛、菩薩、空行、護法!今天,我們佛弟子們聚集在這裡,紀念南無第三世多杰羌佛佛誕,恭迎《南無第三世多杰羌佛經藏總集》出版面世!《南無第三世多杰羌佛經藏總集》的出版,不僅是娑婆世界的頭等大事,也是整個法界的頭等大事!…

中華國際佛教聞修正法會於9月15日、16日(農曆7月28、29日)在苗栗縣西湖鄉立體育館舉辦孝親報恩法會,該會恭請國際佛教僧尼總會總住持聖德 釋證達教尊主法…

二零二二年六月十一、十二日連續兩天,聖蹟寺聯合了華藏寺、慈善寺等十所寺廟,在南加州聖蓋博市喜來登飯店,舉行了莊嚴隆重的“恭迎南無第三世多杰羌佛佛誕”法會,法會吉祥圓滿。應佛弟子們的要求,現特將翟芒尊者和證達教尊的講話發出來,供大家了解。…

在擇決法裡,「黑關擇決法」是上乘大法的擇決,勝於「飛籤問訊」、「瑪尼石擇決」、「金瓶抽籤」、「圍帳摸牌」,乃至勝於「金剛擇決」,僅次於「先知預言」,但並不是說為此人舉行了「黑關擇決法」,就代表他的身份地位高,身份地位的高與低要看被擇決出來的結果是什麼來定。

幾日前在苗栗縣證達教尊主持的法會上殊勝的天降甘露,竟引起有人惡意造謠,其實只要仔細推敲一下,從現場影片中,甘露是有垂直降下,也有左右飄落的,在未到達地面前就消失了,與水塔的水花落下,地面是會打濕的情況根本有所不同,更況現場有如此多的人讚嘆不已,還有聞到異香撲鼻的,難道他們還分辨不出來嗎?…

美國聖蹟寺在執行政府保護大眾健康安全的防疫規定下,按照法規在大殿戶外舉行了佛史固有、但聖者都罕見的勝義馬頭明王水壇珠卦,這一部法,連著名的大聖者、內蒙古大法王章嘉呼圖克圖都曾說:他還沒有見到蒙藏兩地有人修成馬頭明王水壇珠卦。聖蹟寺竟然修成了如此千年難遇、殊勝的擇決大法,實為慶幸!…

我慚愧比丘釋智壯不打妄語,是我的戒律,說來已過20年了,那是在1997年,我在中國成都有因緣聽到南無第三世多杰羌佛説法,說到觀世音菩薩菩提聖水楊枝淨水的作用,當時我合掌請示佛陀,…

一看「修行者守則」,就是一個不通曉經藏的外行寫的,才會以邪惡見來用意立句。完全違背了南無第三世多杰羌佛一直以來說法的法音。…

日前觀世音菩薩出家日,台灣佛教界慶賀活動無數,苗栗市南勢里一場「覺行寺啓建祈福大悲懺法會」,主辦單位運用高空攝影來記錄法會莊嚴景象,當地媒體見到錄影所擷取的照片,直稱「好壯觀」!…

2014年4月18日在美國洛杉磯聖格寺,舉行了一場佛教「功夫鬥法」比試,來自美國、中國大陸、台灣、香港、澳大利亞、新西蘭等國家的仁波且、法師、阿闍黎齊聚一堂,內有隱而不露的大法王、尊者、大法師等絕世高手。…

〔記者李啟聰洛杉磯報導〕二○一四年四月十八日在美國洛杉磯聖格寺,舉行了一場佛教功夫鬥法比試,來自美國、中國大陸、台灣、香港、澳大利亞、新西蘭等國家的仁波且、法師、阿闍黎,內有藏龍臥虎的大法王、尊者、大法師,鬥法擂主是七十多歲的四大法子之一的蔣貢康欽仁波且(簡稱貢康),他大顯威風,口出狂言,該場佛…

各位行者大德、諸山長老、各位尊敬的貴賓、仁波且、法師、阿闍黎、聞法上師,大家吉祥!今天是H.H第三世多杰羌佛大法會暨《藉心經說真諦》首發會在香港舉行,本會歡迎大家來到大會現場,這是一個最吉祥殊勝的日子…