加拿大學佛院

En

《老實修行》59-65頁-化身境(素化身)

2010年09月26日 轉發自佛教大願菩提金剛正法中心

化身境(素化身)

         佛陀師父選好時辰吉日,在莊嚴的壇城為我舉行《解脫大手印》加持法天界曼陀羅泥丸開頂,開示道:「此法非常重要,能夠學到此法的人寥寥無幾,跟師父學法之後很快只要二小時就會產生實相境界,成就泥丸道果,你要好好修它,利益眾生。」就這樣我如法進入了接受甚深加持,佛陀師父坐在很遠的高台上,沒有為我摩頂,只讓我觀修了密義,為我舉行儀式,打開正法之門。這兩個小時過去了,當時頭頂囟門泥丸處,只是發熱,顯得特別異樣,到底開頂沒有,我確實不知道。

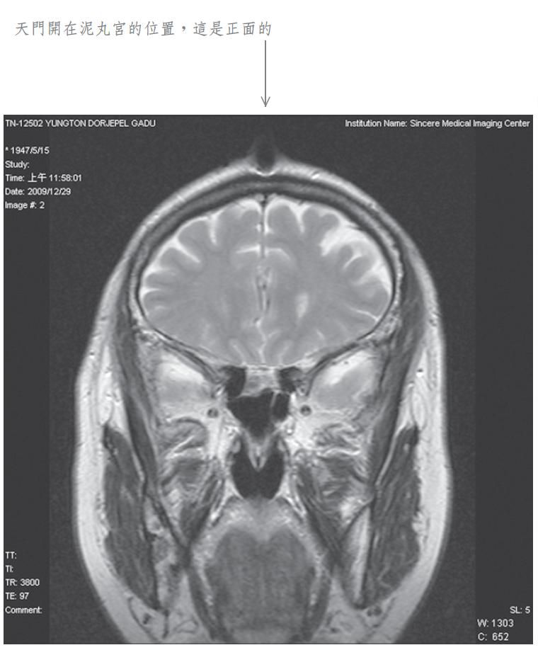
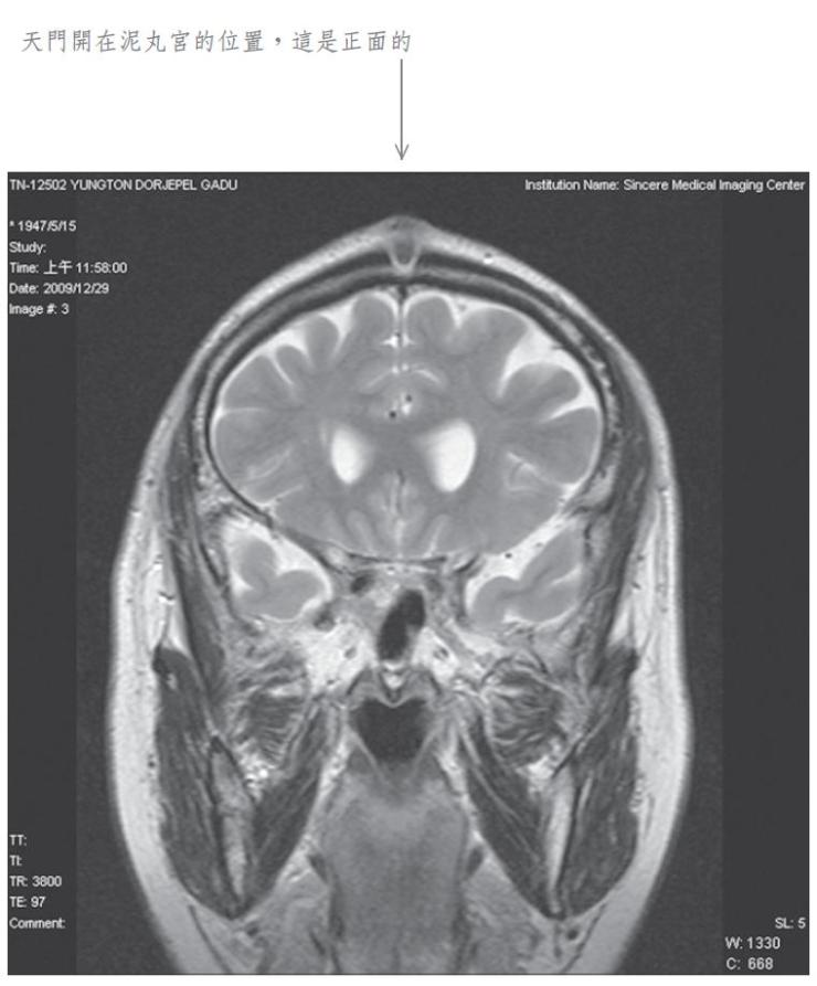
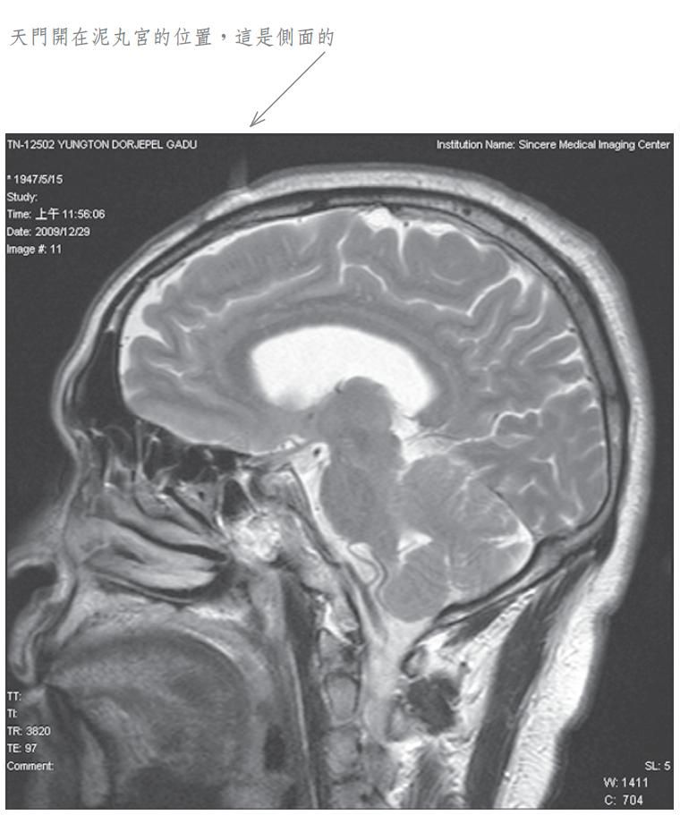
         當我進入第七天修持時,我的前頭額囟門的位置也就是嬰兒頭頂會跳動的地方,稱之為泥丸宮,也有道家練士稱它天門,突然感到一股巨大的加持力量從我的泥丸宮如排山倒海的灌入,隨即身體突然受到一股強力電擊,一聲響亮泥丸打開,這時我到底在什麼地方,是有還是空,全然都處在一片無明狀態之中。很快這無明化成無限的光芒,我自一個正在盤腿做功課的我化身而出,形成另外一個我,接著飛起來,速度快的無法想像,直衝雲霄,頭頂感到強烈的風壓,風自皮膚高速切過,耳朵亦傳來刺耳的風聲。這時我已經不在無明狀態,而是清清楚楚明明白白見到我的第二化身,當時對於山河大地日月星辰、居家田野農場街市行人如實所在,實景現前,並非夢境。但最大的擔心就是怕外界時間停留過久,造成我的肉身受到傷害,想到道家的鐵拐李就是返塵太晚,讓別人毀壞了身體,沒有辦法才附在一個跛駝乞丐的身上。雖然這是道家的故事,但是今天對我來說可是現實中的實情實境喔!難道我也要去步鐵拐李的後塵嗎?想到這裡十分擔憂,當下快速返塵,清清楚楚看到頭上泥丸宮的位置在放光,於是就此借光而入,至此之後,其奧妙無窮不可言喻。由於牽涉到甚深佛法之故,不便將更多的聖事書於書中,望能理解。

         當我將此種修法中發生之覺受稟報佛陀師父時,佛陀師父又為我傳了秘密口訣。經過一段時日,佛陀師父在公開開示的法音帶中,才提到我曾經修法達到化身境的初級,即是素化身的意思。為了讓眾生明瞭佛法的偉大,事隔多年之後,我特別於二零零九年十二月廿九日,到中心綜合醫院安排磁振造影(MRI)頭部的攝影檢查,結果發現泥丸宮的部位出現一個1.5公分寬深的開口,同時拍下了有一股神識出氣衝出頭部的實況。負責檢查的醫生非常驚訝稱奇,但無法解釋其原因,因而將它歸因於非人之所為。我其實非常清楚,我的神識化身本來就是從這裡出入的,以下是在醫院MRI檢查的掃瞄片。

本文摘錄自:老實修行67-73

相關報導